quarta-feira, 18 de agosto de 2010

Infarto Feminino

Ela comentou que não se sentia bem...
Doíam-lhe as costas....
Foi deitar-se um pouco até que passasse...
Mais tarde, quando fui ver como ela estava, a encontrei sem respiração...
Não a puderam reviver...

Comentou o marido, ao médico, já no Hospital:

- " Eu sabia que os ataques cardíacos nas mulheres são diferentes, mas nunca imaginei nada como isto.

Esta é a melhor descrição que li sobre esta terrível experiência..."

- Sabia que os ataques cardíacos nas mulheres raramente apresentam os mesmos sintomas 'dramáticos' que anunciam o infarto nos homens ?
Refiro-me à dor intensa no peito, o suor frio e o desfalecimento súbito (desmaio, perda de consciência) que eles sofrem e que vemos representados em muitos filmes...
Para que saibam como é a versão feminina do infarto, uma mulher que experimentou um ataque cardíaco vai-nos contar sua história:
- Eu tive um inesperado ataque do coração por volta de 22h30min, sem haver feito nenhum esforço físico exagerado nem, haver sofrido algum trauma emocional que pudesse desencadeá-lo.

Estava sentada, muito agasalhadinha, com meu gato nos joelhos, vendo novela.


- Um pouco mais tarde, senti uma horrível sensação de indigestão, como quando estamos comendo com pressa .

Comendo um sanduíche, engolindo-o com um pouco de água, sem mastigá-lo bem.

 
Esta foi minha sensação inicial...

O único problema era que eu NÃO HAVIA comido NADA desde às 17h00min...
Depois, desapareceu esta sensação e senti como se alguém me apertasse a coluna vertebral...(pensando bem, agora acredito que eram os espasmos em minha aorta).
Logo, a pressão começou a avançar para o meu externo (osso de onde nascem as costelas no peito).
O processo continuou até que a pressão subiu à garganta e a sensação correu, então, até alcançar ambos os lados de meu queixo.
Tirei os pés do puf e tratei de ir até o telefone, mas caí no chão...
Levantei-me e, me apoiando em uma cadeira, caminhei devagar até o telefone para chamar a emergência.
Disse-lhes que acreditava estar tendo um ataque cardíaco, descrevendo meus sintomas.
Tentei me manter calma, informei o que se passava comigo.
Eles me disseram que viriam imediatamente e, me aconselharam deitar-me perto da porta, depois de destrancá-la para que pudessem entrar e me localizar rapidamente.
Segui as instruções, me deitei no chão e, quase imediatamente, perdi os sentidos.

Acordei com o cardiologista me informando que havia introduzido um pequeno balão em minha artéria femural para instalar dois 'stents' que mantivessem aberta minha artéria coronária do lado direito.



Graças a minhas explicações precisas, os médicos já estavam esperando prontos para atender-me adequadamente quando cheguei ao hospital...



Dicas importantes:



1. Dizem que muito mais mulheres que homens morrem em seu primeiro ataque cardíaco porque não identificam os sintomas ou, os confundem com os de uma indigestão.



CHAMEM a AMBULÂNCIA, se sentem que seu corpo experimenta algo estranho.

Cada um conhece o estado natural (normal) de seu corpo. Mais vale uma 'falsa emergência' do que não atrever-se a chamar e perder a vida...



2. Notem que disse 'chamem os Paramédicos/Ambulância'.



AMIGAS, o tempo é importante e, as informações precisas também.

3. Não acreditem que não possam sofrer um ataque cardíaco porque seu colesterol é normal ou 'nunca tiveram problemas cardíacos’...

O ataque cardíaco é o resultados de um stress prolongado que faz com que nosso sistema cardiológico acumulem hormônios que inflamam as artérias e tecido cardíaco.

Por outro lado, as mulheres que estão entrando na menopausa ou já a ultrapassaram, perdem a proteção que lhes brindava, os estrogênios, e passem a sofrer maior risco de problemas cardíacos do que os homens.

Um cardiologista disse que, se todas as vezes que recebemos estes e-mails, o enviarmos a 10 mulheres, poderemos estar certas de que ao menos UMA vida se salvará.

Por isto, seja boa amiga e envie este artigo a todas as mulheres que lhe são queridas...
E, aos homens também para que alertem suas mulheres!!!

sexta-feira, 16 de julho de 2010

FOLK MEDICINE


 
                                      
1  







2







3







4







5





6





7




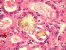
As imagens foram coletadas na internet.
 1ª imagem  mostra como os depositos de calcio nas paredes da artéria.
 2ª      "  mostra os danos do artritismo ou calcificação nas falanges da mão.
 3ª      "    motra os depositos de cristais  ou calcificação nos rins.
 4ª      "     mostra os pontos de calcificações nas mamas de uma mulher.
5ª       "     mostra deformação nas mãos devido ao processe de calcificação.
6ª      "     uma lamina do tecido com traços de acumulos de cristais de oxalato de  calcio.
7ª      "     um corte transversal numa artéria para mostrar um tipo de calcificação comum.


A maravilhosa medicina popular do Vermont-USA vem se formando desde tempos primitivos. Ela adapta as condições do ambiente de vida, antiqüíssimas leis da fisiologia e bioquímica humana para a obtenção da saúde e do bem estar.Tomando diariamente uma ou duas porções de vinagre de maçã com água, ou água e mel, você pode contribuir para manter sua saúde em equilíbrio, e se prevenir de inúmeros males e manter o corpo jovem.

E QUAL A DOSE NECESSÁRIA?
Afirma o doutor D.C. Jarvis, famoso médico norte-americano, natural do Vermont-USA, em seu livro: "Folk Medicine: A Vermont Doctor’s Guide to Good Health". 1960, que durante várias décadas, pesquisou e estudou o uso do vinagre de maçã natural nesta região, entre os camponeses, para a cura de doenças e a manutenção da saúde, que, após três meses desse tratamento, o sangue volta a adquirir a sua natural fluidez, tornando-se fino e brilhante, livre de impurezas ou matérias terrosas. A dieta ácida do vinagre de maçã natural desobstrui as artérias e vasos sanguíneos naturalmente. Dissolve as placas formadas de cristais de cálcio endurecedores, cristais de ácido úrico, matérias terrosas e gorduras indesejáveis nos revestimentos internos dos vasos e articulações.De acordo com o conhecimento dos antigos aldeões Vermonteses, observadores natos dos fenômenos naturais, a doença tem como veículo o próprio sangue impuro carregado de substâncias terrosas, toxinas, sais carbonatados, gorduras, e que o vinagre de maçã natural tem a faculdade de dissolver esses depósitos de substâncias endurecedoras e mortais, que são os cristais, principalmente, à base de cálcio. Segundo ainda o renomado médico, a causa básica das doenças é a constante deposição de cálcio excedente nos vários órgãos e articulações do corpo, cuja deposição impede que essas funções sejam realizadas normalmente e conseqüentemente dificulta que a energia vital circule pelo corpo através do sangue. É interessante observar que o termo “esclerose” se origina do grego e quer dizer “endurecimento”, e o corpo humano durante a vida sofre um processo natural de envelhecimento ou endurecimento(enrijecimento) com a conseqüente perda de líquidos ou desidratação dos tecidos, o que causa a sua decrepitude e finalmente a morte. Quando falamos arteriosclerose, identificamos uma anomalia que se caracteriza pelo endurecimento da artéria. Porém, afirma o doutor DC. Jarvis, que o uso diário do vinagre de maçã natural faz com que a pessoa experimente uma sensação de bem estar; a digestão é favorecida e produz um sono reparador. A energia vital volta a circular livremente. A musculatura fica menos fatigada e a recuperação é rápida.Os processos orgânicos são facilitados. Combate a fadiga crônica e o mal estar. Desaparecem os gases intestinais, o amargor da boca, favorece a digestão, equilibra o pH do sangue. Pessoas que sofrem de hemorróidas podem sentir depois de algumas semanas, tomando o vinagre de maçã, o mal regredir até desaparecer. A vista melhora consideravelmente devido ao processo purificador do sangue. Os sintomas de tonturas também desaparecem com a dieta ácida do vinagre de maçã. Ademais, verifica-se um vigoroso crescimento e fortalecimento dos cabelos, como conseqüência também, observa-se um emagrecimento natural, a pele torna-se mais nutrida e irrigada pelo sangue. Ela volta a adquirir sua jovialidade e beleza, tornando-se lisa como uma seda.Os dentes se fortalecem e desaparece o mau hálito. Os ossos se tornam mais fortes, menos sujeitos a fraturas e ao desgaste, a medula dos ossos se torna vermelha e brilhante, as pessoas sujeitas a freqüentes dores de cabeça (cefaléias), vêem cessar esses incômodos, tomando duas vezes ao dia, três colheres das de sopa de vinagre de água e mel ou com água.

Os efeitos benéficos do vinagre no organismo:

ANEMIA
Doença causada por hemorragia, agentes químicos ou carência vitamínica ela pode ser perigosa porque predispõe a outras enfermidades? Para combatê-la o organismo necessita de ferro, vitamina B-12 além de uma extensa lista de elementos nutritivos. O vinagre de maçã contém grande parte desses elementos, portanto utilize-o, prontamente, nas saladas e nas refeições em geral, se pretende combater a anemia.

ARTRITE
Ocorre quando as articulações inflamam devido à infecção bacteriana ou traumática? Para amenizar as dores causadas por esta doença e tratá-la faça o seguinte: misture uma colher (café) de mel e uma colher (café) de vinagre de maçã em um copo com água. Beba a mistura pela manhã e à noite. Outro método que consideram eficaz é beber um copo com água antes das principais refeições, contendo 2 colheres (café) de vinagre.

ASMA
Pode ser aliviada combinando-se os benefícios da acupressão com o vinagre de maçã? Aplique gaze umedecida com vinagre no lado interno dos pulsos, prendendo-as com a ajuda de um elástico.

CABELOS
Ficam mais macios, abundantes e vistosos, se aplicar neles, depois de lavados e enxaguados, uma mistura de água e vinagre? Meça dois copos de água morna, misture uma colher (chá) de vinagre e despeje sobre os cabelos ainda úmidos.

CÃIBRA
Tomar, durante as refeições, um copo de água misturado com uma colher (sobremesa) de vinagre de maçã, diariamente, combate as cãibras noturnas? Outro bom remédio para evitá-las é fazer uma mistura com 1 colher (café) de mel, 1 colher (café) de vinagre de maçã e 1 colher (sopa) de lactado de cálcio em 1/2 copo de água. Beba essa mistura uma vez ao dia.

CALOS
Aplique compressas de vinagre de maçã, utilizando para isso meia fatia de pão dormido embebido em vinagre? Faça isso toda noite antes de dormir até que os calos desapareçam por completo.

CASPA
Após lavar a cabeça normalmente, enxágüe os cabelos com uma água contendo 1/2 copo de vinagre de maçã misturado com três copos de água morna? Esse tratamento além de combater a caspa, revigora os cabelos escuros e dá brilho aos cabelos claros.

CATARATA
O desenvolvimento da catarata está associado à oxidação do cristalino? Isto ocorre quando os radicais livres alteram a sua estrutura. Entretanto, o betacaroteno encontrado, principalmente na cenoura, mas também em outros alimentos como a maçã e o vinagre desta fruta, podem prevenir a catarata, isto porque o betacaroteno é um poderoso antioxidante que diminui os riscos de desenvolvimento da doença. Logo, para prevenir-se da catarata consuma, demasiadamente, alimentos que contenham betacaroteno, sem esquecer de ingerir doses diárias do vinagre de maçã.

COCEIRA NA PELE
Podem ser aliviadas se passar na pele um chumaço de algodão umedecido com vinagre de maçã?

COCEIRAS
Você pode aliviá-las passando no local um chumaço de algodão embebido em vinagre de maçã? O vinagre deve ser diluído na proporção de 1 volume de vinagre para 4 volumes de água.

COLESTEROL
O vinagre contém uma fibra, a pectina, que percorre lenta e suavemente o organismo se aglutinando ao colesterol? Ao percorrer o organismo rumo à saída, a pectina leva consigo o colesterol. Eliminando o alto nível de colesterol, se reduz os riscos de problemas cardiovasculares, como ataques cardíacos e apoplexia.

CRAVOS E ESPINHAS
À noite, quando for deitar-se, passe no rosto uma pomada feita com morangos e vinagre de maçã? A pasta deve ser preparada com três morangos e 1/4 de copo de vinagre de maçã, amasse bem e deixe a mistura descansar por duas horas. Aplique esta pomada sobre o rosto e durma com ela, retirando-a, pela manhã, lavando normalmente o rosto. Faça o tratamento três vezes por semana e, em breve, se livrará das espinhas e cravos. Este tratamento também conserva a pele macia e saudável, retardando o envelhecimento.

DIGESTÃO DIFÍCIL
O vinagre de maçã contém substâncias bastantes semelhantes às que são naturalmente secretadas pelo estômago para digerir os alimentos, por isso ele leva a fama de facilitador digestivo? Ao passo que auxilia na digestão é óbvio que ocorre uma melhora geral do metabolismo. Para combater a má digestão beba, no meio das refeições, 3 colheres (chá) de vinagre de maçã em um copo com água.

DOR DE GARGANTA
Misture 1/4 de copo de mel e 1/4 de copo de vinagre de maçã e beba 1 colher (sopa) a cada 2 horas? Faça gargarejos com uma mistura de um copo de água morna e uma colher (sopa) de vinagre.

DOR DE CABEÇA
Coloque um pouco de vinagre de maçã na água de um inalador? Inale essa mistura durante 5 minutos, em seguida deite-se e a dor de cabeça vai desaparecendo aos poucos; ou enrole um pano umedecido com vinagre de maçã em volta da cabeça como se fosse um turbante.

DOR NO ESTÔMAGO
Beba, aos poucos, um copo de água morna contendo 1? colher (sopa) de mel e 1 colher (sopa) de vinagre de maçã. Este procedimento além de amenizar as dores de estômago, também combate a flatulência.

ESQUECIMENTO
Acredita-se que quem bebe, regularmente, pequenas doses de vinagre goza de urna mente viva por muito mais tempo?

FLATULÊNCIA (GASES)
Acredita-se que não há nada que cause mais flatulência que os grãos das leguminosas, portanto sempre que for cozinhar feijão e outras leguminosas, coloque na panela do cozimento um pouco de vinagre? Isso é o bastante para deixar os grãos macios e fáceis de serem digeridos.

FERIMENTOS
Desde os tempos bíblicos o vinagre era utilizado para tratar os ferimentos infecciosos? Durante a guerra civil, nos Estados unidos, ele foi reguiarmente usado, pois como agente bactericida e antibiótico contribuía para desinfeccionar os ferimentos, evitando infecções mais graves e livrando da morte vários soldados. Portanto, em ferimentos infecciosos, com pus, vale a pena aplicar o vinagre de maçã e conferir os resultados.

HEMORRAGIA
O vinagre de maçã também tem o poder de restabelecer o fluxo sangüíneo? Portanto, em caso de menstruação excessiva ou quaisquer outros tipos de hemorragia, beba 2 colheres (chá) de vinagre de maçã em um copo com água, de duas a três vezes ao dia. O vinagre de maçã além de restabelecer o fluxo normal, contribui para a formação de glóbulos vermelhos.

HIPERTENSÃO ARTERIAL (Pressão Alta)
Para tratá-la é indicado o uso do potássio? O vinagre de maçã, assim como a banana e a beringela, é rico em potássio, devendo, portanto, ser utilizado no combate à doença. Para combater esta doença deve-se tomar de 1 a 3 colheres (chá) de vinagre de maçã em um copo com água. Beba como remédio no meio das refeições até obter resultado.

INTOXICAÇÕES
Por ser um excelente anti-séptico, os nutricionistas e médicos em geral sugerem que se empregue regularmente o vinagre na alimentação, evitando assim os riscos de intoxicações alimentares e infecções causadas por bactérias ou parasitas que tenham se fixado nos alimentos? Para evitá-los, recomenda-se que as frutas, legumes e verduras, em especial as que serão ingeridas cruas, que fiquem de molho em água e vinagre por 15 minutos. A mistura deve conter 1 parte de vinagre para 6 partes de água.

MAL DE ALZHEIMER
Caracterizada como doença pré-senil é a pior das doenças mentais associadas à velhice? É causada pela carência de cálcio e de substâncias como a tiamina e a niacina aliadas à carência de B-12. Um tratamento à base de vitamina B-12 e vinagre se revelaram benéficos, em pesquisas, restabelecendo a grande maioria dos pacientes.

MAL ESTAR
Coloque sobre seu estômago um pano embebido em vinagre de maçã morno, quando o pano esfriar troque-o novamente por um outro morno? Isto alivia o mal estar e ainda afasta as náuseas e vômitos.

MANCHAS SENIS
As manchas que aparecem pelo como, comum na velhice, podem desaparecer com um tratamento à base de cebola e vinagre de maçã? Para isso, misture 1 colher (café) de suco de cebola e 2 colheres (café) de vinagre de maçã e, com um chumaço de algodão ou um pedaço de pano, passe a mistura sobre as manchas. Faça o tratamento diariamente e, em algumas semanas, as manchas desaparecerão.

MELHORA O METABOLISMO
Porque atua como um aliado do organismo, combatendo quaisquer viroses ou bactérias que, por ventura, tenham driblado as células de defesa? Sendo assim você fica por mais tempo sem ter resfriado, gripe, enfim, os beneficios provocam uma melhora geral no organismo.

MÚSCULOS CANSADOS
Não há nada melhor para acalmar os músculos fatigados ou distendidos que envolvê-los em tecido embebido em vinagre de maçã? Mantenha a compressa por 3 a 5 minutos no local ou durante o tempo que achar necessário.

OBESIDADE
Beba, antes das principais refeições, um copo de água morna com um colher (café) de vinagre de maçã? Aos poucos seu apetite passará a ser moderado, diminuindo a gordura excessiva.

ODORES NAS AXILIAS
Para livrar-se do cheiro desagradável, passe um tecido embebido em vinagre de maçã nas axilas? Use como se fosse um desodorante, após o banho, e em pouco tempo estará livre dos odores.

OSTEOPOROSE
Doença caracterizada por perda óssea, a osteoporose, torna os ossos porosos e frágeis fazendo com que se fraturem com facilidade? A enfermidade é grave levando o paciente a sofrer com dor, deformidade e outras moléstias decorrentes da doença. Também é uma doença causada pela carência vitamínica, nasce principalmente da aversão à lactose e de seus derivados ricos em cálcio. Para prevenir esta doença deve-se ingerir grandes quantidades de alimentos ricos em cálcio, como o leite e seus derivados, além de muita verdura e doses maciças de vinagre de maçã, devido ao seu teor significativo de cálcio.

PERDA DE MEMÓRIA
Causada, em grande parte, pelo mau hábito alimentar; em especial pela ingestão de álcool, a perda da de memória é mais comum, em pessoas de longa idade? As carências nutricionais são o grande problema dos idosos que têm suas taxas de vitaminas e minerais abaixo do normal, contribuindo para a perda das capacidades mentais. Somente o vinagre de maçã proporciona a essas pessoas o equilíbrio orgânico entre aminoácidos, vitaminas e minerais, essenciais ao cérebro e ao corpo revertendo o quadro da doença.

PÉS CANSADOS
Basta caminhar por 5 minutos em uma banheira com água e meio copo de vinagre de maçã? A água deve encher a banheira até a altura dos tornozelos. Caminhe 5 minutos antes de deitar e 5 minutos ao levantar-se.

PICADAS DE INSETO
Deve-se aplicar, imediatamente, o vinagre de maçã sobre as picadas? Elas serão aliviadas e desinfectadas.

PÉ-DE-ATLETA
Se você tem pé-de-atleta ou se sofre com coceira e descamação dos pés, então deixe suas meias de molho, por meia hora, em água com vinagre, na proporção de um volume de vinagre para 5 de água?

PROBLEMAS DE OUVIDO
Método antigo utilizado por nossas avós para impedir infecções nos ouvidos, agora é recomendado por autoridades médicas? A Academia Americana de Otorrinolaringologia sugere que se empregue uma mistura de vinagre com álcool para impedir o desenvolvimento daquilo que chamamos de ouvido de nadador. Um volume de vinagre misturado a igual volume de água fervida serve para enxaguar os ouvidos durante o banho, prevenindo-os de futuras infecções e coceiras.

PROBLEMAS DE PELE
Proteger a pele - acredita-se que o vinagre de maçã misturado ao azeite de oliva a 50%, protege contra os danos que os raios solares provocam na pele? Além disso é capaz de evitar a insolação e as rachaduras na pele.

PROBLEMAS URINARIOS
Para prevenir os riscos de infecção nos rins ou bexiga, tome, diariamente, uma pequena dose de vinagre de maçã ele mantém a acidez necessária nas vias urinárias, diminuindo assim os riscos de infecção?

QUEIMADURAS ALCALINAS
No passado queimaduras alcalinas leves eram tratadas com vinagre de maçã aspergido sobre o local afetado? Até os dias de hoje, o vinagre tem sido de grande utilidade para neutralizar as queimaduras alcalinas.

QUEIMADURAS DE MEDUSA
Não se deve ignorar as queimaduras de medusa? Na Austrália um jornal médico recomenda que se jogue imediatamente vinagre sobre a queimadura, considerando isto como etapa essencial de primeiros socorros no tratamento das vítimas de medusas. Em Massachusets, um Colégio de Farmácia e Ciências médicas aprovou e ratificou o método, abordando que se não houver cuidados imediatos, o veneno da medusa no organismo pode provocar náuseas, dores de cabeça, calafrios, colapso do sistema cardiovascular e até morte. Somente o vinagre pode neutralizar o veneno sendo aplicado no local imediatamente.

RETARDA O ENVELHECIMENTO
Acredita que o uso prolongado e diário do vinagre, por representar uma melhora geral no metabolismo, pode prevenir contra o envelhecimento precoce, causado por diversos fatores, dentre os quais, correspondentes ao organismo debilitado?

REUMATISMO
O reumatismo, assim como as cãibras e a artrite, é caracterizado também pela falta de potássio? O vinagre de maçã por conter potássio pode aliviar as dores do reumatismo, se for ingerido diariamente.

SOLUÇOS
Beba lentamente um copo de água morna contendo uma colher de café de vinagre de maçã?

TOSSE NOTURNA
Umedeça a fronha do travesseiro em que irá dormir com vinagre de maçã?

TUMORES
Os tumores e feridas purulentas da pele podem melhorar se for aplicada uma bandagem embebida em vinagre de maçã?

ÚLCERAS
Estudos publicados em um jornal de Farmacologia Japonesa indicam que o vinagre pode prevenir a úlcera gástrica causada pelo consumo excessivo de álcool, isto porque o vinagre força o estômago a secretar mais suco gástrico? Esta defesa natural parece proteger o estômago contra os efeitos nocivos do álcool.

VARICOCELE
O vinagre é indicado para tratar quaisquer tipos de veias varicosas (varizes)? Na Escócia é antigo o costume de tratar varizes com vinagre de maçã. O vinagre deve ser aplicado, pela manhã e à noite, por toda a extensão das veias varicosas pelo período de um mês. Não esquecendo de ajudar o tratamento externo, ingerindo diariamente de 2 a 3 copos com água contendo cada um 2 colheres (chá) de vinagre de maçã. Esse tratamento é útil para tratar a doença que, em determinados casos, necessita de uma intervenção cirúrgica.

VARIZES
Enrole ao redor das pernas e sobre as varizes, um pano umedecido com o vinagre de maçã. Mantenha as pernas erguidas com a compressa, por pelo menos 1 hora. Faça isso pela manhã e à noite e ao final de 6 semanas sentirá um alivio impressionante.

Carlos Viccino
Departamento Comercial
Editora Montanhas Verdes
Telefone: 19 3041.7102
www.editoramv.com.br
carlos@editoramv.com.br

FOLK MEDICINE

Boa tarde,

Oi Eliane, retorno para solicitar seu endereço. Desejo lhe enviar uma amostra do livro. Abaixo um descritivo para fins de divulgação e comercial. Se interessar para voce divulgar em seu site, até mesmo para comercializar é simples, além de voce estar me ajudando. Leia com atenção.

A  Editora Montanhas Verdes, lançou em junho deste ano, em  acordo de secção de direitos autorais dos herdeiros do autor americano para o terrítório brasileiro,  o famoso livro best seller  traduzido do original norteamericano, "FOLK MEDICINE - O Guia Médico Vermontês para a Boa Saúde: Vinagre de Maçã Vivo suas qualidades extraordinárias para a boa saúde e os segredos da Medicina Popular do Vermont"  do lendário médico norteamericano,  Dr. DeForest Clinton Jarvis, cujas pesquisas revolucionárias  repopularizaram o uso de vinagre no mundo moderno.  Suas antigas teorias  é hoje objeto de pesquisas em universidades sobre os efeitos de vinagre de maçã na fisiologia e controle químico dos fluidos do corpo e impedimento do processo da esclerose prematura dos tecidos orgânicos.

Trata-se de obra imperdível,  na lista dos Big Best Seller nos Estados Unidos, segundo o jornal The New York Times.    O livro tem uma apresentação nobre, muito bem acabado, com 254 pag. Suas dimensões são: 15 cm de largura e 21,5 cm de comprimento. Capa em relevo seco, título em dourado, cores vibrantes, leitura agradável, curiosa e interessante, que nos empolga a cada capítulo.  Cada livro vem dentro de uma caixa de papelão tipo envelope, muito bem acomodado com a inscrição do logo da editora, menção do livro.

A finalidade desta apresentação: o livro poderá ser presenteado aos seus clientes, amigos e fornecedores como um mimo ou brinde, ou negociado em seu site.  Podemos inserir na sua contra capa o logo da sua empresa com ou sem mensagem. O prêço para o varejo é R$ 36,00, no atacado R$ 31,00.


Extendemos um convite de visita ao nosso site.

Um abraço,

Cordialmente,

Carlos Viccino
Editora Montanhas Verdes
CNPJ: 11.501.771/0001-89
Piracicaba/SP
Fone: (19) 3433-2337
www.editoramv.com.br
carlos@editoramv.com.br

Paisagismo alimentar alia jardinagem à alimentação saudável e HORTA

Veja também o manual no link abaixo, referente a horta perenehttp://www.multimistura.org.br/livreto%20hortas.pdf


A nutricionista, Claudia Lulkin, adepta de um estilo de vida em harmonia com a natureza, realiza trabalho educativo de resgate da cultura da jardinagem voltada para a alimentação num assentamento urbano na cidade de São Leopoldo, Rio Grande do Sul - o chamado paisagismo ou jardinagem alimentar. Nesta entrevista, ela esclarece o que é e quais os valores difundidos por esta prática que, de acordo com ela, deveria ser adotada não só no campo, mas também nas cidades.

Mobilizadores COEP - O que é paisagismo alimentar? Em que princípios se baseia? 

R.Paisagismo alimentar é uma proposta de se plantar, num mesmo local, plantas destinadas ao embelezamento e outras que podem fornecer alimentos, como árvores frutíferas, plantas medicinais, como guaco, boldo, camomila, e flores comestíveis como capuchinha. Em todos os lugares, em cada cantinho, em cada pedacinho que parece abandonado podemos fazer um jardim aprazível, curador, colorido, organizador do olhar. O princípio básico é embelezar como função estética, anti-estresse e incentivar a paixão pela jardinagem.

Mobilizadores COEP - De que maneira o paisagismo alimentar pode contribuir para promover a segurança alimentar, principalmente, dos mais pobres, onde os recursos e também o acesso à informação para uma alimentação saudável são mais escassos?

R.Promover a segurança alimentar é muita pretensão, mas, ao plantarmos frutas como mamão, limão, laranja, bergamota, maracujá, pitangas, goiabas, butiás e abacate; temperos, como salsinha, cebolinha, manjericão, manjerona; e ervas medicinais como capim cidró, camomila, macela, lavanda, podemos oferecer às comunidades princípios curativos, vitaminas e minerais, que além de tudo podem ser compartilhados e dar aroma e cores à paisagem. Mesmo a jardinagem na cidade utiliza plantas de forma bem repetitiva, ou seja, com pouca diversidade e, em geral, sem função alimentar.

Mobilizadores COEP - Qual a relação entre paisagismo alimentar e permacultura? Poderia explicar a diferença entre eles?

R.A permacultura é a prática de uma cultura permanente que engloba planejar e manter sistemas de escala humana ambientalmente sustentáveis. Em permacultura também se faz paisagismo alimentar e muito mais. Esta cultura ocupa-se de guardar água para molhar as plantas, ensina a fazer telhados verdes que também podem ter plantas alimentícias, faz casas com recursos locais. O paisagismo alimentar está dentro da permacultura, está dentro das práticas de agrofloresta, está dentro do paisagismo, da arquitetura, da agricultura urbana.

Mobilizadores COEP - Podemos aplicar o paisagismo alimentar nos grandes centros urbanos? Como seria o plantio em apartamentos? 

R.: Muitas pessoas plantam suas flores e temperos em sacadas de apartamentos, em parapeitos de janelas. Os centros urbanos têm muitas áreas com espaços que podem se tornar jardins comestíveis. A princípio qualquer lugar pode receber plantas para se tornar mais agradável.

Mobilizadores COEP - Que tipo de alimentos, flores e ervas medicinais podem ser cultivados? Quais os principais cuidados que devem ser adotados? 

R.: Já citei vários, mas é importante se certificar com pessoas que entendam de plantas e estudar o que pode ser plantado, para não ter problemas futuros com fios de eletricidade ou com canos que estão sob calçadas, por exemplo, caso as espécies escolhidas cresçam muito ou tenham a raiz muito grande.  

Mobilizadores COEP - De que maneira podemos melhorar a nossa interação com a natureza, através dos alimentos, dentro dos grandes centros urbanos?  

R.: Cada vez mais parece que as pessoas estão se dando conta da necessidade dos elementos da natureza para sua sanidade: tomar sol, respirar ar puro, sentir a brisa e o vento, ouvir a chuva, ver um lago, ver o verde, sentir os aromas. Se plantarmos jardins que também sejam comestíveis, também sentiremos sabores. É uma alimentação não só para o corpo, mas para a mente, para os olhos, para os sentidos, para o equilíbrio psicológico.

Mobilizadores COEP - Você trabalha com um assentamento urbano em São Leopoldo (RS), onde desenvolve um trabalho educativo através da jardinagem alimentar. No que consiste o trabalho e há quanto tempo vem sendo realizado? Ele já trouxe resultados? Poderia citar exemplos práticos?

R.: O assentamento urbano Vida Nova, em São Leopoldo, abriga cerca de 133 famílias que moravam às margens do Arroio Kruse e foram reassentadas pelo Projeto PAC Arroio Kruse - projeto articulado junto ao Programa de Aceleração do Crescimento (PAC), vinculado ao Governo Federal, sob a coordenação da Prefeitura. O projeto visa também à regularização fundiária e a recuperação ambiental de aproximadamente 1,5 quilômetros do arroio.

Estamos começando a disseminar a ideia da criação de uma nova paisagem, de embelezar e valorizar os espaços individuais e coletivos e acrescentar princípios alimentares - jardins com ervas, com flores coloridas e curativas, com trepadeiras como guaco e bertalha, e babosa para cicatrização, por exemplo. As famílias assentadas já vinham de uma prática similar. Agora, estamos estimulando a continuidade dessas práticas e a aproximação da vizinhança, com um troca-troca de mudas, receitas e xaropes.

Mobilizadores COEP - Como a comunidade do assentamento está reagindo a este tipo de trabalho educacional? Ela participa e se envolve? De que forma? 

R.As pessoas se envolvem pelo prazer de ver os resultados, mesmo que isso tenha um tempo para se estabelecer: o tempo do crescimento das plantas. É interessante, pois o tempo urbano é da correria e a jardinagem tem o tempo das estações, das lunações e temos que esperar para ver o que acontece com as plantas. É outra dimensão. 

É um trabalho ainda recente, mas esperamos envolver a comunidade e disseminar estas ideias. O método - inspirado a partir de leituras e vivências dos mestres Paulo Freire, Bill Mollison, Lucia Legan, Ademar Brasileiro e Clara Brandão; das Ongs Ingá, Flor de Ouro, Oca Brasil e Ecocentro IPEC – é da descoberta dos recursos disponíveis a cada momento, provocando rápida transformação com assimilação da idéia e da prática.

Mobilizadores COEP - Como podemos utilizar os alimentos de forma a torná-los aliados para o desenvolvimento de uma vida mais saudável e mais produtiva? 

R.: Os alimentos de origem vegetal: frutas, verduras, flores, temperos têm princípios funcionais, curativos. Têm cheiros, cores, sabores verdadeiros. Se conseguimos transformar o paladar que está ficando também alterado por uma alimentação altamente processada e artificializada, estaremos oferecendo ao corpo mais nutrientes.

As atividades de jardinagem e de paisagismo alimentar também fazem com que as pessoas voltem a utilizar melhor seu corpo, se alongando, se abaixando, tomando sol. Rompem a doença do sedentarismo com uma atividade extremamente prazerosa e revitalizante. 

Mobilizadores COEP - O que é importante fazer para que as comunidades adotem alimentação mais variada e criativa, valorizando os alimentos típicos de sua região? Pode citar exemplos?

R.É importante colocar a mão na terra e na massa, fazer refeições junto, demonstrar na prática as delícias que estão disponíveis ou que podem se tornar disponíveis. Por exemplo: numa comunidade, uma senhora tem no seu pátio tomate de árvore. Passamos a utilizar os tomates em comidas na cozinha comunitária e o grupo reaprendeu a utilizar essa planta.

Em outro momento, utilizamos mamões verdes para uma geléia com coco e ficou uma delícia. Colhemos butiás e fazemos suco. Batemos maracujás com cenoura para suco e fazemos maionese de abacate, colhemos os chuchus e fazemos saladas ou doce. Quando se tem a disponibilidade dos recursos, torna-se mais fácil criar com eles. Esse movimento tem o intuito de envolver mais pessoas para que se tenha esses recursos disponíveis e possamos estimular este tipo de alimentação. Algo do tipo que ‘essa moda pegue’, resgatando o gosto pelo prazer da jardinagem.

Eu me tornei uma apaixonada por isso através de amigos que têm a maestria da jardinagem, como Ademar Brasileiro - Mago Jardineiro de Curitiba, Marco Krug, artista, designer, paisagista, doRecife (PE), o pessoal do Instituto de Permacultura e Ecovilas do Cerrado (Ipec), em Pirenópolis (GO); os jardins da Humaniversity, na Holanda. Todos são movimentos de resgate da relação do homem com o meio ambiente ao seu redor.

Entrevista para o Grupo de Combate à Fome e Segurança Alimentar
Concedida à: Flávia Machado.
Editada por: Eliane Araújo.


Data: 14/7/2010


quarta-feira, 14 de julho de 2010

Mel pode ser nova arma contra bactérias resistentes

por  IARA BIDERMAN

Cientistas da Universidade de Amsterdã não apenas comprovaram a ação antibacteriana do mel como mostraram que ele pode neutralizar bactérias resistentes a antibióticos, como Staphylococcus aureus e E. coli.
Os pesquisadores também deram um passo além na busca de novas formas de prevenir e tratar infecções ao descobrir qual é a substância do mel que tem essa ação.
Batizada com o sugestivo nome de defensin-1, trata-se de uma proteína presente no organismo das abelhas, por elas acrescentada ao mel.
"É importante encontrarmos produtos naturais que desativam bactérias. Eles não têm a toxicidade dos medicamentos e podem ser usados em quantidades maiores", diz o infectologista Marcos Boulos, da Faculdade de Medicina da USP.
O uso popular do mel para tratar sintomas como dor de garganta mostra que ele tem alguma eficácia, segundo Boulos. Porém, o mel "in natura" não oferece garantia de controle da infecção.
"Além da questão da qualidade do mel, não sabemos se a substância ativa foi ingerida em concentração suficiente. A vantagem da pesquisa foi isolar a substância, o que pode levar ao desenvolvimento de produtos eficazes para cura e prevenção de infecções", diz o médico.
Segundo o cardiologista e nutrólogo Daniel Magnoni, o mel é um nutriente de alto valor energético, que pode ajudar o sistema imunológico, mas o uso contra infecções ainda tem que ser muito estudado.
Durval Ribas, presidente da Associação Brasileira de Nutrologia, diz que há alguns estudos mostrando a ação anti-inflamatória e bactericida do mel em infecções de pele. "Mas ainda não podemos confirmar o uso médico", acrescenta.
Para os autores da pesquisa, publicada no jornal da Federação das Sociedades Americanas para Biologia Experimental, o mecanismo de ação foi esclarecido.
Eles afirmam que tanto o mel quanto a substância antibacteriana isolada (a defensin 1) têm alto valor na prevenção e no tratamento de infecções por bactérias resistentes a antibióticos.

DICAS QUE PODEM AUXILIAR NA SUA COMUNICAÇÃO CORPORAL

Mantenha uma adequada postura corporal, pois facilita a projeção vocal e a articulação precisa, transparecendo naturalidade e uma boa estética. Recomenda-se:

1- Manter ângulo de 90° entre a ponta do queixo e o pescoço;

2- Os pés devem estar apoiados no chão de forma que o peso do corpo seja distribuído a toda a base dos pés.

3- Ao sentar, pés apoiados ao chão, costas inteiramente apoiadas no encosto da cadeira e joelhos fazendo ângulo de 90°com o quadril;

4- Em pé, os joelhos não devem estar totalmente travados. Deve-se posicioná-los de forma levemente flexionada evitando alterações musculares na região lombar e cervical;

5- Devemos alinhar o ombro e o quadril durante a movimentação. Ombros sempre relaxados favorecendo o correto posicionamento de braços. O relaxamento dos músculos respiratórios evitará má postura e tensão da região superior do corpo;

6- Nuca alongada para facilitar o posicionamento reto de cabeça com olhar na horizontal;

7- Cabeça sempre reta, mas nunca tensionada. A cabeça posicionada de forma inclinada para os lados ou para baixo pode induzir a afirmação ou negação de determinadas mensagens, além de demonstrar insegurança;

8- Olhar sempre para onde desejamos projetar a voz. Desta maneira refletimos segurança e persuasão;

9- Ao se apresentar, aproxime-se do interlocutor inclinando o corpo levemente em sua direção, assim sinalizará abertura e disposição para a comunicação


Dicas - Como ter uma Voz Saudável? 

1- Beber de 7 a 8 copos de água por dia, em temperatura ambiente. Evitar refrigerante, pois pode prejudicar a movimentação do diafragma; 

2- Em ambientes com ar condicionado, intensifique a hidratação; 

3- Evite tossir ou pigarrear, uma vez que provoca um impacto forte nas pregas vocais e transparece nervosismo diante de uma apresentação; 

4- Falar em ambientes ruidosos ou abertos leva o emissor a intensificar a emissão vocal, pois há competição sonora. Quando possível deve-se evitar tais ambientes, mas no caso de profissionais que trabalham em tais condições a voz deve ser projetada e os sons articulados com precisão; 

5- Fornecer palestras, ministrar aulas ou participar de uma entrevista durante quadros gripais ou crises alérgicas deve ser evitado. Neste período deve-se beber água em abundância, antes, durante e após apresentações; 

6- Um dia antes de se apresentar para aquela entrevista de mestrado ou de emprego, ou ministrar aquela apresentação importante deve ser realizado repouso vocal. As pregas vocais são músculos como qualquer outro, e também sofrem fadiga; 

7- Evite ingerir grandes quantidades de aspirinas, diuréticos ou calmantes, pois ressecam a mucosa vocal. 

8- Cantar é um ótimo exercício vocal, mas o indivíduo precisa ter preparo vocal, caso contrário podem surgir sérias alterações orgânicas. 

9- Evite ingerir alimentos pesados ou muito condimentadoos por acarretar má digestão e refluxo de secreções gástricas. A maçã e o salsão são recomendados, pois são adstringentes, deixando a saliva mais fininha. Já os derivados do leite e chocolate engrossam a saliva e dificultam a articulação das palavras e a vibração das pregas vocais. 

10- Ao se comunicar demonstre suas emoções atentando-se para que estas sejam compatíveis com a intenção do discurso.


 Dicas - Como potencializar sua dicção? 

1- Em apresentações procure evitar esforços físicos intensos que podem levar a uma voz ofegante. A respiração é a responsável pela produção da voz, assim alterações nessa prejudicam sua apresentação. 

2- A voz reflete a personalidade e os sentimentos. Se não estiver bem preparada, a voz, por meio de hesitações, pausas e velocidade alterada, poderá prejudicar seu discurso, demonstrando insegurança, nervosismo ou despreparo; 

3- Articule as palavras de forma precisa. Pronuncie-as sem exageros; 

4- Para facilitar a projeção da voz no ambiente e transparecer energia e clareza, possua um bom apoio respiratório, realize uma adequada abertura de boca, use as inflexões, olhe para o ambiente a que se quer projetar a voz. 

5- Fale olhando sempre para o publico focalizando pontos na platéia. Fixe seu olhar acima dos olhos ou no fundo da sala. Direcione sua voz ao ambiente sem precisar gritar; 

6- A entonação provoca efeito sobre o ouvinte. Sustente a entonação no agudo quando não quiser ser interrompido, ao finalizar o pensamento diminua mantenha um tom mais grave. As inflexões evitam interpretações ambíguas e torna o discurso envolvente; 

7- A ênfase da frase deve ser dada à palavra que seja considerada mais importante na mensagem, mas sem exageros, 

8- Domine o assunto, se prepare teatralizando anteriormente. O domínio do assunto fortalece a autoconfiança e evita hesitação como os famosos "brancos"; 

9- O aquecimento vocal favorece o relaxamento dos músculos responsáveis pela voz e pela mímica facial transmitindo mais tranqüilidade. Existem técnicas para realizar o aquecimento vocal, por exemplo vibrar a língua e os lábios. 

10- Existe uma distancia e um posicionamento adequado para se falar ao microfone. Posicione-o na distancia de um palmo a frente do queixo e transmita a mensagem em intensidade habitual;


Dicas - Elaboração de recursos audiovisuais 

1- De preferência usar slides de fundo escuro, realçando a informação com cores claras, desta forma é melhor de se trabalhar o texto; 

2- Pode ser utilizada até três cores diferentes nos slides e transparências. Desta forma evita-se que as cores prenda a atenção do ouvinte em detrimento da informação; 

3- O título deve ser introduzido na parte superior e central do slide. Os subtítulos à esquerda e na parte superior também. Deve ser escrito de forma concisa, de forma que situe o interlocutor sobre o que será abordado; 

4- As letras devem ser grandes objetivando que o receptor da ultima fileira consigam visualizar. Dê preferência em fonte padrão arial ou times new roman; 

5- É imprescindível que no slide contenham poucas linhas. O texto deve apenas introduzir o assunto abordado em sua essência. 

6- Evite introduzir números, descreva-os para facilitar a compreensão, a não ser que sejam resultados de um levantamento estatístico acompanhado ou não de gráficos; 

7- Os gráficos devem ser usados com parcimônia, pois cansa o interlocutor, entretanto, caso haja muita informação a ser compartilhada, e que sejam essenciais ao entendimento do texto, pode-se sintetizar através de gráficos ou pontuações. 

8 - Evite introduzir sons nos slides uma vez que dificulta a compreensão e distrai o ouvinte. Deixe apenas nos slides o essencial. 

9- Faça uso de poucas ilustrações. Dê prioridade aquelas que dão ênfase a mensagem.

 
 
EXERCICIOS TRAVA-LINGUA  IV

Flui o frio pra pedra do tigre
de Ruth Salles

Flui o frio
          frente à fresta.
          Frágil Flora
          freme em febre.
                    Flui o frio pro tigre.
                    Frente à fresta, a floresta.
                    Frágil Flora, fremente,
                    freia a febre com o frasco.
                              Flui o frio pra pedra do tigre.
                              Frente à fresta, trepida a floresta.
                              Frágil Flora, fremente na praça,
                              freia a febre com o floco do frasco.


Trombeteia a tempestade
de Ruth Salles

Vai e vem voando o vento,
faz a festa na floresta,
fino e forte qual navalha,
vira a folha, que farfalha.

Rasga os ramos e os derruba,
gira, gira em disparada,
fere a terra e a rodopia,
espiral desenrolada.

Logo a leve luz da lua
já se aninha em negra nuvem.
 Nessa névoa, a lua alada
lá se anula e não é nada.

Trombeteia a tempestade,
se encadeia, e desce, e dança,
canta e toca na vidraça.
Que tormenta! Que mudança!

Um sussurro sobe e soa,
um zumbido zine e zoa:
é o som que sai da casa
que agasalha uma pessoa.

Quase cai aquela casa!
E o lugar foi-se alagando!
Mas agora o quadro acalma,
cada gota vai secando.

Tudo espaça e logo passa,
toda bulha vai embora.
Já se espalha a bruma baça,
brilha o astro em boa hora.

Como a chuva encharca o chão!
Eu me ajeito, gotejando,
me queixando, a gracejar,
relaxando... bocejando..



Ri na rama a rosa rubra
de Ruth Salles


Bruto e bravo, brama o búfalo.
Berra e brinca o bode branco.
Zurra a zebra, zune o zéfiro.
Ri na rama a rosa rubra.
Freme a folha a farfalhar.
Corre em curva o claro córrego.
Voa o vento e envolve o vale.
Chia a chuva e encharca o chão,
pinga em pedras, pula em plantas,
lambe e lava e leva a lama.
Soa o sino em som de sonho.
Pela praça, em plena pompa,
passa o pato, passa a pomba